잇몸이 붓고 아플 때 꼭 알아야 할 8가지 비법!
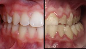
잇몸의 건강은 전체 구강 건강에 매우 중요한 요소입니다. 잇몸이 붓고 아플 때는 다양한 원인이 있을 수 있으며, 이러한 증상을 방치하면 치아 손실로 이어질 수 있습니다.
이 글에서는 잇몸이 붓고 아플 때 취해야 할 조치들에 대해 자세히 알아보겠습니다.

잇몸이 붓고 아픈 원인
치은염
치은염은 가장 흔한 잇몸 질환 중 하나로, 플라그가 잇몸에 쌓이면서 발생합니다. 치은염 초기에는 통증이 없지만, 시간이 지나면 잇몸이 붓고 붉어지며 출혈이 발생할 수 있습니다. 치은염은 치주염으로 발전할 수 있어 조기 치료가 필요합니다.
치주염
치은염이 진행되면 치주염으로 발전할 수 있습니다. 이는 잇몸과 치아 뿌리 사이의 조직이 손상되어 치아가 흔들리거나 빠지는 심각한 상태로 이어집니다. 치주염은 잇몸과 치아 뼈를 손상시키므로, 전문적인 치료가 필요합니다.
구강 위생 불량
올바른 구강 위생을 유지하지 않으면 플라그와 치석이 축적되어 잇몸 질환을 유발합니다. 정기적인 양치질과 치실 사용이 필수적입니다. 불량한 구강 위생은 다양한 구강 질환의 원인이 될 수 있습니다.
호르몬 변화
임신, 생리, 폐경 등 호르몬 변화는 잇몸 건강에 영향을 줄 수 있습니다. 이 시기에 잇몸이 민감해지고 염증이 발생하기 쉬워집니다. 특히 임신 중에는 잇몸 질환의 위험이 증가할 수 있습니다.
흡연
흡연은 잇몸 질환의 주요 원인 중 하나입니다. 흡연은 잇몸 조직에 직접적인 손상을 주고, 혈액 순환을 방해하여 치유 속도를 늦춥니다. 흡연자는 비흡연자보다 잇몸 질환에 걸릴 확률이 훨씬 높습니다.
영양 결핍
비타민 C와 같은 중요한 영양소의 결핍은 잇몸 건강에 영향을 줄 수 있습니다. 비타민 C는 잇몸 조직의 건강을 유지하는 데 중요한 역할을 하므로, 충분한 섭취가 필요합니다.
스트레스
스트레스는 신체 전반에 부정적인 영향을 미치며, 잇몸 건강에도 악영향을 줄 수 있습니다. 스트레스는 면역 체계를 약화시켜 염증 반응을 증가시키고, 잇몸 질환의 위험을 높입니다.






잇몸이 붓고 아플 때 해야 할 조치
정기적인 치과 방문
잇몸 문제가 발생하면 정기적인 치과 방문이 필수적입니다. 치과 의사는 잇몸과 치아의 상태를 정확하게 평가하고 적절한 치료를 제공할 수 있습니다. 정기적인 검진을 통해 잇몸 질환을 조기에 발견하고 치료할 수 있습니다.
올바른 양치질
올바른 양치질 방법을 터득하는 것이 중요합니다. 하루에 최소 두 번, 각각 2분 동안 양치질을 하는 것이 권장됩니다. 부드러운 칫솔과 불소 치약을 사용하여 잇몸을 자극하지 않도록 주의합니다. 양치질은 잇몸과 치아 사이의 플라그와 음식 찌꺼기를 효과적으로 제거하는 데 중요합니다.
적절한 치실 사용
치실 사용은 잇몸 건강에 필수적입니다. 치실은 칫솔로 제거할 수 없는 치아 사이의 음식 찌꺼기와 플라그를 효과적으로 제거합니다. 매일 치실을 사용하면 잇몸 질환을 예방할 수 있습니다. 치실 사용 시에는 너무 세게 당기지 않도록 주의하여 잇몸을 다치지 않게 해야 합니다.
항염증 식품 섭취
항염증 효과가 있는 식품을 섭취하면 잇몸 건강을 개선할 수 있습니다. 오메가-3 지방산이 풍부한 생선, 아마씨, 호두 등을 꾸준히 섭취하고, 비타민 C가 풍부한 과일과 채소도 포함해야 합니다. 항염증 식품은 염증을 줄이고 잇몸 조직의 회복을 돕습니다.
흡연 금지
흡연은 잇몸 질환에 악영향을 미칩니다. 흡연을 중단하면 잇몸 건강을 크게 개선할 수 있습니다. 담배 속의 유해 물질이 잇몸을 손상시키기 때문에 금연이 필요합니다. 금연은 잇몸 질환 예방뿐만 아니라 전반적인 건강에도 긍정적인 영향을 미칩니다.
적절한 수분 섭취
수분 섭취는 잇몸 건강에 중요합니다. 충분한 물을 마시면 침 분비를 촉진하여 입 안의 청결을 유지하고 잇몸 질환을 예방할 수 있습니다. 하루에 최소 8잔의 물을 마시는 것이 권장됩니다. 수분 섭취는 침의 생산을 도와 입안의 박테리아를 줄이는 데 중요한 역할을 합니다.
스트레스 관리
스트레스는 잇몸 건강에 부정적인 영향을 줍니다. 스트레스가 많을 때는 염증 반응이 증가하여 잇몸 질환의 위험이 높아집니다. 요가, 명상, 규칙적인 운동 등 스트레스 관리 방법을 실천해야 합니다. 스트레스 관리는 전반적인 건강뿐만 아니라 구강 건강에도 긍정적인 영향을 미칩니다.
올바른 생활습관 유지
건강한 생활습관은 잇몸 건강에 긍정적인 영향을 미칩니다. 규칙적인 운동, 충분한 수면, 균형 잡힌 식사는 전반적인 건강을 증진시켜 잇몸에도 도움이 됩니다. 특히 설탕이 많은 음료와 간식의 섭취를 줄이는 것이 중요합니다. 건강한 생활습관은 잇몸 건강을 유지하는 데 필수적입니다.






잇몸 건강을 위한 추가 조치
구강 세정제 사용
구강 세정제는 잇몸 건강에 도움을 줄 수 있습니다. 항균 성분이 함유된 구강 세정제를 사용하면 플라그 형성을 줄이고, 입 냄새를 제거할 수 있습니다. 그러나 구강 세정제를 사용할 때는 제품 설명을 잘 읽고, 과도하게 사용하지 않도록 주의해야 합니다. 구강 세정제는 양치질과 치실 사용을 보완하는 역할을 합니다.
치과 전문의 상담
잇몸 문제가 지속되거나 심각한 경우, 치과 전문의와 상담하는 것이 중요합니다. 전문적인 치료가 필요할 수 있으며, 맞춤형 치료 계획을 수립하여 효과적인 치료를 받을 수 있습니다. 치과 전문의는 잇몸 질환의 원인을 정확히 진단하고, 최적의 치료 방법을 제시할 수 있습니다.
치아 교정
치아 교정은 치아 배열을 개선하여 잇몸 건강에 긍정적인 영향을 미칠 수 있습니다. 치아가 고르게 배열되면 칫솔질과 치실 사용이 쉬워져 잇몸 질환을 예방할 수 있습니다. 치아 교정은 미적 개선뿐만 아니라 기능적인 개선에도 도움이 됩니다.
잇몸 마사지
잇몸 마사지는 잇몸 혈액 순환을 촉진하여 잇몸 건강을 개선할 수 있습니다. 부드러운 손가락이나 잇몸 전용 마사지 도구를 사용하여 잇몸을 부드럽게 마사지하면 염증을 줄이고 통증을 완화할 수 있습니다. 잇몸 마사지는 매일 꾸준히 실천하면 효과적입니다.






잇몸 질환의 예방
규칙적인 치과 검진
잇몸 질환 예방을 위해서는 규칙적인 치과 검진이 중요합니다. 최소한 6개월에 한 번씩 치과를 방문하여 잇몸 상태를 확인하고, 필요한 경우 스케일링과 같은 예방 조치를 받을 수 있습니다. 정기적인 검진을 통해 잇몸 질환을 조기에 발견하고 치료할 수 있습니다.
구강 위생 제품 선택
구강 위생 제품을 신중하게 선택하는 것이 중요합니다. 불소가 함유된 치약, 부드러운 칫솔, 항균 구강 세정제를 사용하여 구강 건강을 유지할 수 있습니다. 구강 위생 제품은 구강 청결을 유지하고 잇몸 질환을 예방하는 데 도움이 됩니다.
식습관 개선
식습관을 개선하면 잇몸 건강에 긍정적인 영향을 미칠 수 있습니다. 당분
이 많은 음식과 음료는 피하고, 신선한 과일과 채소, 단백질이 풍부한 식품을 섭취해야 합니다. 건강한 식습관은 전반적인 건강을 증진시키고 잇몸 질환을 예방하는 데 중요한 역할을 합니다.






잇몸 건강을 위한 일상 생활 관리
충분한 수면
충분한 수면은 잇몸 건강에 중요한 영향을 미칩니다. 수면 부족은 면역 체계를 약화시켜 염증 반응을 증가시키고 잇몸 질환의 위험을 높입니다. 하루에 최소 7-8시간의 충분한 수면을 취하는 것이 권장됩니다.
규칙적인 운동
규칙적인 운동은 전반적인 건강을 증진시키며, 잇몸 건강에도 긍정적인 영향을 미칩니다. 운동은 혈액 순환을 촉진하여 잇몸 조직에 산소와 영양분을 공급하고, 염증을 줄이는 데 도움이 됩니다.
균형 잡힌 식사
균형 잡힌 식사는 잇몸 건강을 유지하는 데 필수적입니다. 비타민 C, 오메가-3 지방산, 항산화제가 풍부한 식품을 섭취하여 잇몸 건강을 증진시킬 수 있습니다. 과일과 채소, 견과류, 생선 등을 꾸준히 섭취하는 것이 좋습니다.



결론
잇몸이 붓고 아플 때는 적절한 조치를 취하는 것이 중요합니다. 정기적인 치과 방문, 올바른 양치질, 적절한 치실 사용, 항염증 식품 섭취, 흡연 금지, 적절한 수분 섭취, 스트레스 관리, 올바른 생활습관 유지 등 다양한 방법을 통해 잇몸 건강을 유지할 수 있습니다. 만약 잇몸 문제가 지속되거나 심해진다면 전문의의 도움을 받는 것이 가장 안전하고 효과적인 방법입니다. 이를 통해 건강한 잇몸을 유지하고, 구강 건강을 전반적으로 향상시킬 수 있습니다.






잇몸 건강은 전반적인 구강 건강의 중요한 요소입니다. 위에서 언급한 다양한 조치들을 꾸준히 실천함으로써 잇몸 질환을 예방하고, 건강한 치아와 잇몸을 유지할 수 있습니다. 정기적인 치과 검진과 올바른 구강 위생 관리는 건강한 잇몸을 유지하는 데 필수적입니다.
'생활정보' 카테고리의 다른 글
| 건설업기초안전보건교육 신청 (0) | 2024.06.22 |
|---|---|
| 당화혈색소 낮추는 방법:이 방법만 알면 끝! (0) | 2024.06.22 |
| 잇몸 염증 치료약 베스트 5 알아보기 (0) | 2024.06.22 |
| 알PDF 파일 무료 다운로드 및 설치 방법 : 지금 바로 따라하세요! (0) | 2024.06.22 |
| 목에 이물감이 느껴지는 증상:원인과 치료법을 한눈에! (0) | 2024.06.21 |
댓글